What Is The Function Of The Organic Matrix In Bone
Olivia Luz
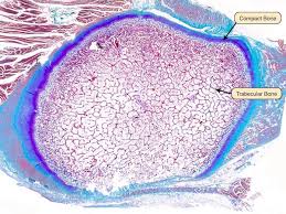
It is where blood cells are manufactured.
Organic components being mostly type 1 collagen. While the noncollagenous proteins and proteoglycans only contribute a small amount to the total mass of the organic matrix they serve several important functions during osteoblast differentiation tissue mineralization cell adhesion and bone remodeling 53 54 56 57. In higher education. What is the function of the organic matrix in bone.
What is the function of the organic bone matrix in bone. It consists of calcium hydroxyapatite which is in the form of a crystalline structure. What is the function of organic matrix in bone. Chemical composition of the bone.
The matrix is designed to house the bone cells and protect them from damage. The inorganic matrix provides protection support and structure for the body. The function of the matrix in bone is that it contains blood vessels in which nutrition is delivered and wastes are exported. The organic material gives bone flexibility amp.
RELATED ARTICLE :
- what did medusa look like before she was cursed
- what comes in the 5 dollar box at popeyes
- what day of the week is this is us on
This extracellular matrix is made of. It also adds structure and support to the bones. If you were to examine the haversian systems making up bone tissue you.
Source : pinterest.com
















